Gingivitis: ¿Cómo Detectarla y Detener su Avance? Guía Completa de Cuidado Oral

Gingivitis: ¿Cómo Detectarla y Detener su Avance? Guía Completa de Cuidado Oral

¡Gingivitis! ¿Qué es? ¿Se puede curar? Acá te explicamos todo:

Quédate a leer este artículo si…:
… Si en ocasiones sientes que tus encías están hinchadas o sensibles, o has notado sangrado al cepillarte, y deseas abordar este problema, has llegado al lugar correcto.

La Gingivitis en simple es "La inflamación de la encía" y esto parte por el famoso "Biofilm" o más conocida como "placa bacteriana" (aunque debería llamarse microbiana porque no solo hay bacterias en la boca, también puede haber virus y hongos, hasta parásitos en algunos casos...) 

La formación de biofilm en nuestros dientes es un proceso que sigue una secuencia ordenada y dinámica.

Todo comienza con la adhesión de bacterias, que poco a poco se van acumulando y aumentando la complejidad de este biofilm.

¿Qué pasa si no lo eliminamos? Bueno, el biofilm supragingival (sobre la encía) puede volverse tan complejo que puede causar una respuesta inflamatoria por parte de la encía y eso lo llamamos gingivitis.

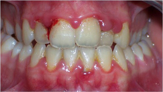
¿Y cómo se manifiesta la gingivitis? Con síntomas como enrojecimiento, inflamación y sangrado de las encías. ¡No es nada agradable!

Pero lo bueno es que la gingivitis es reversible, así que tranquilo que acá te vamos a ayudar como revertirla! 

Sin embargo, si no la tratamos, puede avanzar hacia una condición más grave llamada periodontitis, donde perdemos tejido conectivo y hueso de soporte. ¡Imagínense eso! (Cuando la periodontitis avanza, suelta los dientes y se pierden, porque "se come el hueso" que sostiene al diente!!) 

Ahora, en cuanto a los culpables de la gingivitis, predominan bacterias como Actinomyces spp. y Capnocytophaga spp., junto con algunas bacterias
gram-negativas anaeróbicas estrictas (y si recuerdas, el fumar aumenta el CO2, disminuyendo el oxígeno y haciendo que tu boca esté más anaeróbica, eso favorece aún más a las bacterias malas que causan la enfermedad periodontal, por eso fumar empeora tanto la salud de tus encías entre otras cosas que hace)

Estas especies bacterianas hacen de las suyas en las encías, provocando la formación de pequeños sacos periodontales y causando estragos en el tejido que rodea a los dientes.

Pero la gingivitis no solo puede ser causada por bacterias, ¿saben? También pueden entrar en juego otros factores como traumatismos, agentes químicos, defectos inmunitarios e incluso radiaciones ionizantes. ¡La lista es larga! (básicamente es todo aquello que genere una respuesta infamatoria de parte de la encía)

Lo más interesante es que la gingivitis no discrimina en edad ni en población, ¡todos estamos en riesgo! Aunque, sí, es verdad que se detecta con mayor frecuencia en la adolescencia y las mujeres embarazadas son una población de mucho riesgo, por un tema hormonal.

Entonces, amigos, ¿qué aprendemos de todo esto? ¡Que es importante cuidar nuestras encías tanto como nuestros dientes! ¡No olviden cepillarse y usar hilo dental regularmente para mantener esa sonrisa brillante y saludable por mucho tiempo! 

¡El cepillo de dientes solo limpia el 60% de tu boca y la gingivitis parte entre los dientes, ahí donde tu cepillo no llega, es por ello que es tan importante limpiar ENTRE LOS DIENTES  con hilo, seda o cinta dental! 

Los mejores productos para limpiar entre los dientes:

 ¡Si sospechas que tienes gingivitis porque al momento de cepillarte te sangran las encías, recuerda que DEBES ASISTIR A UNA EVALUACIÓN DENTAL, ya que puede ser algo más grave de lo que piensas y entre antes tengas un diagnóstico más rápido puedes sanar!

Referencías Bibliograficas

Lindhe, J. (2015). Periodontology (7th ed.). Wiley-Blackwell.

Regresar al blog

Deja un comentario

Ten en cuenta que los comentarios deben aprobarse antes de que se publiquen.