PELIGROS DEL CEPILLO DURO!
Share
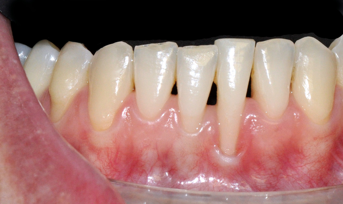
Los Cepillos duros generan recesiones gingivales
Hoy nos vamos a sumergir en un tema candente y controvertido en el mundo de la odontología: las recesiones gingivales y su conexión innegable con el uso de cepillos duros. Como el infame rebelde de la odontología, es mi deber desentrañar los mitos y exponer la verdad que se esconde detrás de estos problemas periodontales que afectan a tantos.
Las recesiones gingivales, esos indeseables retrocesos del tejido gingival que dejan expuestas las raíces de los dientes, son más que un simple problema estético. Son una señal de advertencia de que algo no está funcionando correctamente en nuestra higiene bucal. Y déjenme decirles, mis amigos, que el uso de cepillos duros es uno de los principales culpables detrás de este problema.

Ahora, sé lo que están pensando: "Pero Donnie, ¿cómo puede ser que algo tan básico como un cepillo de dientes pueda causar tanto daño?"
Déjenme decirles, la respuesta es simple pero poderosa: la abrasión.
Los cepillos duros, con sus cerdas rígidas y ásperas, pueden parecer la herramienta perfecta para eliminar la placa y mantener nuestros dientes limpios.
Pero en realidad, están causando estragos en nuestras encías y tejidos periodontales.
La abrasión causada por el cepillado vigoroso con un cepillo duro puede desgastar el delicado tejido gingival, erosionando gradualmente su protección natural y dejándolo vulnerable a las recesiones.
¿No me creen? Permítanme iluminarlos con un poco de evidencia científica, algo que sé que aprecian tanto como yo. Estudios tras estudios han demostrado una asociación clara entre el uso de cepillos duros y un mayor riesgo de recesiones gingivales. La investigación muestra que la presión excesiva y el cepillado vigoroso, comunes entre aquellos que prefieren los cepillos duros, pueden dañar irreparablemente el tejido gingival y provocar su retracción.
Pero aquí está la ironía, mis amigos: aquellos que optan por cepillos duros en un intento de lograr una limpieza más efectiva en realidad están causando más daño que bien. La verdad es que un cepillo de dientes de cerdas suaves es más que suficiente para eliminar la placa de manera efectiva sin comprometer la salud de nuestras encías.
Entonces, ¿qué podemos hacer para proteger nuestras preciosas encías de las recesiones gingivales y el daño causado por los cepillos duros?
La respuesta es simple: educación y usar cepillos suaves
Primero, debemos educarnos a nosotros mismos y a quienes nos rodean y nos importan sobre los peligros del uso de cepillos duros y la importancia de optar por cepillos de filamentos suaves. Debemos dejar de lado la mentalidad de "mientras más duro, mejor" y reconocer que la suavidad la clave cuando se trata de la salud bucal.
En segundo lugar, debemos promover una técnica de cepillado adecuada que minimice la presión sobre las encías y los tejidos gingivales. Un movimiento suave y circular, junto con el uso de un cepillo de filamentos suaves, es la receta para una higiene bucal saludable y libre de recesiones gingivales.
Es hora de dejar de lado los viejos hábitos y abrazar una nueva era de cuidado bucal consciente y basado en la evidencia. Y por sobre todo promover la palabra sobre los cepillos suaves!!
Mis queridos lectores, las recesiones gingivales y el uso de cepillos duros están más conectados de lo que la mayoría de la gente piensa.
Es hora de abrir los ojos a la verdad y tomar medidas para proteger nuestras encías y tejidos gingivales de este daño innecesario.
Así que la próxima vez que alcancen su cepillo de dientes, recuerden la evidencia y elijan la suavidad por sobre la fuerza bruta de los cepillos duros. Sus encías se lo agradecerán y se acordarán de Don Cepillo.
Si quieres revertir esta situación te recomiendo mi selección de cepillos suaves:
- Cluody Brush de más de 32 mil microfilamentos (ideal para cepillar puntos o luego de implantes dentales)
- Curaprox Velvet de 12460 filamentos, para quienes buscan un cepillado ultra suave diariamente
- TePe Supreme , especialmente creado para pacientes con periodontitis y encías sensibles
- Curaprox 5460 Ultrasoft , suavecito ideal para uso diario
Hasta la próxima,
Donnie Marchetti
CEO & Founder.