Periodontitis, la enfermedad crónica no contagiosa que puedes tener sin saber
Share
Desafiando la Periodontitis: La Batalla por una Sonrisa Saludable
Saludos, amigos de Don Cepillo. Hoy nos adentramos en una de las condiciones más desafiantes en el mundo de la odontología: la periodontitis. ¿Qué es exactamente la periodontitis? ¿Cómo afecta a nuestras sonrisas y, lo más importante, qué podemos hacer para combatirla y mantener una salud bucodental óptima?
¡Acompáñenme en este viaje informativo mientras exploramos los misterios de la periodontitis y descubrimos cómo mantener nuestras sonrisas radiantes y saludables!
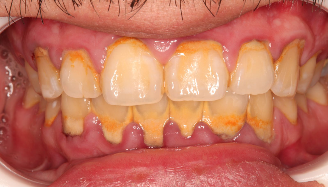
¿Qué es la Periodontitis?
La periodontitis, amigos míos, es mucho más que una simple afección dental.
Es una enfermedad periodontal crónica y progresiva que afecta los tejidos que rodean y soportan los dientes.
Cuando las bacterias del biofilm se acumulan en el espacio que tenemos entre el diente y las encías, desencadenan una respuesta inflamatoria del sistema inmunológico.
Esta respuesta inflamatoria puede dañar gradualmente el tejido de las encías y el hueso alrededor de los dientes, lo que resulta en la pérdida de este soporte para el diente y al seguir avanzando, en última instancia, genera la pérdida de los dientes.

Síntomas de la Periodontitis
La periodontitis no siempre presenta síntomas evidentes en sus etapas iniciales, lo que la convierte en una enfermedad sigilosa y peligrosa.
Sin embargo, a medida que avanza, pueden surgir una serie de signos y síntomas que indican la presencia de esta enfermedad. Estos pueden incluir:
- Sangrado de las encías durante el cepillado o el uso del hilo dental
- Encías inflamadas, enrojecidas o sensibles
- Recesión de las encías, lo que resulta en dientes más largos
- Separación de los dientes o cambios en la forma en que encajan al morder
- Sensibilidad dental, especialmente a alimentos fríos o calientes
- Mal aliento persistente o un mal sabor en la boca
- Pus entre los dientes y las encías
- Dientes con movilidad / sueltos / "flojos"
Factores de Riesgo y Causas de la Periodontitis
Una serie de factores pueden aumentar el riesgo de desarrollar periodontitis. Entre ellos se incluyen:
- Mala higiene bucal: la acumulación de placa bacteriana y sarro es uno de los principales desencadenantes de la periodontitis.
- Fumar: o masticar tabaco aumenta significativamente el riesgo de desarrollar esta enfermedad.
- Genética: la predisposición genética puede influir en la susceptibilidad de una persona a la periodontitis.
- Diabetes: las personas con diabetes tienen un mayor riesgo de desarrollar enfermedades periodontales debido a la alteración del sistema inmunológico.
- Estrés: el estrés crónico puede debilitar el sistema inmunológico y aumentar la susceptibilidad a las enfermedades periodontales.
- Otros factores de riesgo incluyen la edad, la mala alimentación y ciertos medicamentos que reducen la producción de saliva.
Tratamiento y Prevención
La buena noticia es que la periodontitis es tratable y, en muchos casos, prevenible. El tratamiento para la periodontitis varía según la gravedad de la enfermedad, pero recuerda ES UNA ENFERMEDAD CRÓNICA POR ENDE NO LA PUEDES CURAR, SOLO CONTROLAR. Su tratamiento puede incluir:
- Limpieza profesional: la eliminación de la placa y el sarro acumulados por un profesional dental es fundamental para controlar la periodontitis, acá está el destartraje Supra y Sub Gingival
- Raspado y alisado radicular: este procedimiento elimina las bacterias y las superficies irregulares de las raíces dentales para prevenir la acumulación de placa.
- Cirugía periodontal: en casos avanzados, puede ser necesario realizar procedimientos quirúrgicos para reparar el daño causado por la periodontitis y restaurar la salud de las encías y el hueso.
- Mantenimiento periodontal: después del tratamiento, es fundamental mantener una buena higiene bucal en casa y programar visitas regulares al dentista para evitar la recurrencia de la enfermedad.
Prevención de la Periodontitis:
La clave está en mantener una buena higiene bucal, que incluye cepillarse los dientes al menos dos veces al día, usar hilo dental a diario, limitar el consumo de azúcar y alcohol, dejar de fumar y programar revisiones dentales regulares.
Conclusión
La periodontitis es una enfermedad dental grave que puede tener graves consecuencias para la salud bucal y general si no se trata adecuadamente.
Sin embargo, con la atención adecuada y los hábitos de higiene bucal apropiados, es posible prevenir y tratar esta enfermedad de manera efectiva.
¡No dejes que la periodontitis te quite la sonrisa! Mantén una buena higiene bucal y visita a tu dentista regularmente para asegurarte de mantener tu sonrisa radiante y saludable por muchos años más.
Mejores productos de higiene bucal en pacientes en tratamiento y/o mantención de Periodontitis.
- TePe Supreme
- Cepillos Interproximales
- Pasta Vitis Encías
- Enjuague Perio Aid Mantención
- Enjuague Perio Aid Tratamiento
- Enjuague Vitis Encías