Blog de Don Cepillo Dental Store

Piercings en labios y lengua, daños irreversibles en la boca

Piercings en labios y lengua, daños irreversibl...

Explora cómo los piercings en la boca afectan la salud oral según la evidencia científica más reciente. Descubre los tipos de piercings, efectos negativos, riesgos, y cuidado adecuado. Testimonios personales...

Piercings en labios y lengua, daños irreversibl...

Explora cómo los piercings en la boca afectan la salud oral según la evidencia científica más reciente. Descubre los tipos de piercings, efectos negativos, riesgos, y cuidado adecuado. Testimonios personales...

PELIGROS DEL CEPILLO DURO!

PELIGROS DEL CEPILLO DURO!

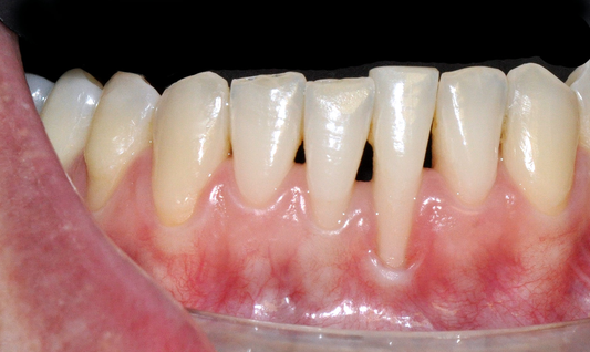
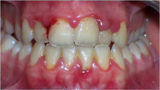
Los cepillos Duros son los enemigos de las encías, causan las llamadas recesiones gingivales y acá te explicamos como evitarlas. 

PELIGROS DEL CEPILLO DURO!

Los cepillos Duros son los enemigos de las encías, causan las llamadas recesiones gingivales y acá te explicamos como evitarlas. 

¿Qué es la Mucositis Periimplantaria y Cómo Afecta a tus Implantes Dentales? Guía Completa

¿Qué es la Mucositis Periimplantaria y Cómo Afe...

La mucositis periimplantaria es una condición inflamatoria que afecta los tejidos blandos alrededor de los implantes dentales, caracterizada por inflamación y sangrado. Es reversible si se trata a tiempo, pero...

¿Qué es la Mucositis Periimplantaria y Cómo Afe...

La mucositis periimplantaria es una condición inflamatoria que afecta los tejidos blandos alrededor de los implantes dentales, caracterizada por inflamación y sangrado. Es reversible si se trata a tiempo, pero...

Periimplantitis: La Guía Definitiva para Entender y Combatir esta Enfermedad de los Implantes Dentales

Periimplantitis: La Guía Definitiva para Entend...

La periimplantitis es una enfermedad inflamatoria que afecta los implantes dentales y puede llevar a la pérdida de hueso y del propio implante. Factores como la mala higiene bucal y...

Periimplantitis: La Guía Definitiva para Entend...

La periimplantitis es una enfermedad inflamatoria que afecta los implantes dentales y puede llevar a la pérdida de hueso y del propio implante. Factores como la mala higiene bucal y...

¿Qué es el Biofilm y cómo Está Relacionado con las Infecciones y Enfermedades Periodontales?

¿Qué es el Biofilm y cómo Está Relacionado con ...

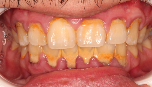
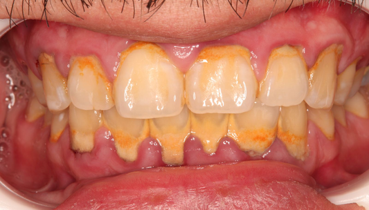
El biofilm, una comunidad microbiana adherida a las superficies húmedas como encías y dientes, desempeña un papel crucial en el desarrollo de enfermedades periodontales. Cuando las bacterias del biofilm se...

¿Qué es el Biofilm y cómo Está Relacionado con ...

El biofilm, una comunidad microbiana adherida a las superficies húmedas como encías y dientes, desempeña un papel crucial en el desarrollo de enfermedades periodontales. Cuando las bacterias del biofilm se...

Periodontitis, la enfermedad crónica no contagiosa que puedes tener sin saber

Periodontitis, la enfermedad crónica no contagi...

¿Qué es la Periodontitis? La periodontitis, amigos míos, es mucho más que una simple afección dental.Es una enfermedad periodontal crónica y progresiva que afecta los tejidos que rodean y soportan...

Periodontitis, la enfermedad crónica no contagi...

¿Qué es la Periodontitis? La periodontitis, amigos míos, es mucho más que una simple afección dental.Es una enfermedad periodontal crónica y progresiva que afecta los tejidos que rodean y soportan...